North Brisbane Dental Clinic

Zoom whitening + Porcelain Crowns

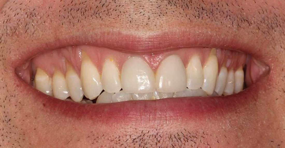
This patient's central crown cracked and needed replacing. The patient didn't want to change the aesthetics too much and liked how natural the original crowns looked. Dr Kirstie suggested Zoom in-chair whitening and then replaced the crowns with a whiter shade, while still ensuring the crowns remained as natural looking as possible. Look how great the smile looks now!

Ready to book an appointment?
Any surgical or invasive procedure carries risks. Before proceeding, you should seek a second opinion from an appropriately qualified health practitioner.