North Brisbane Dental Clinic

Porcelain Crown, Composite Resin Veneers and Zoom Whitening

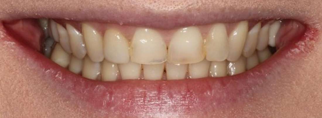
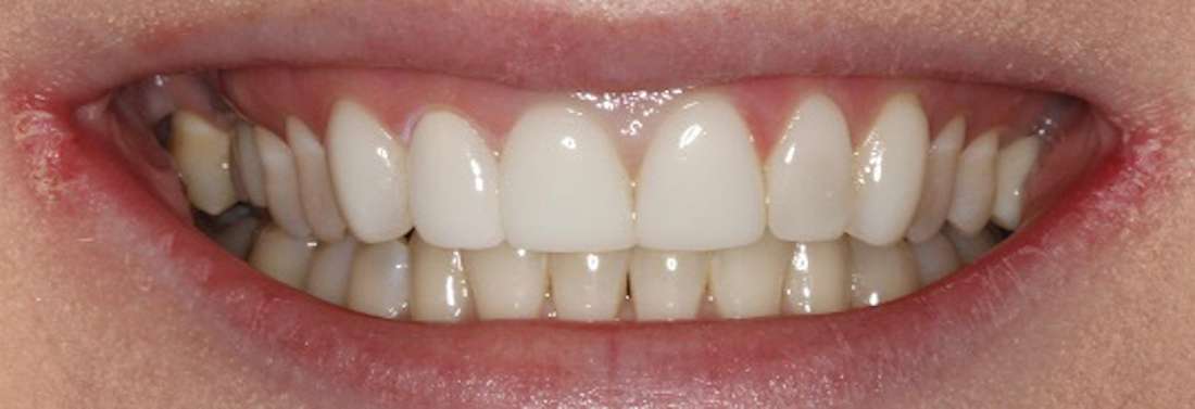
This lovely lady's main concern was to improve the aesthetics of her anterior teeth. Her teeth were worn down from grinding and she didn't like how they were becoming translucent and yellow with time. To fix the overall yellow of her teeth, we were able to whiten her smile with Zoom in chair whitening. Once that was completed Dr Brodie was able to work her magic by using a combination of porcelain veneers and composite veneers to restore and lengthen the front teeth as well as make the teeth appear whiter and more opaque. Look what a difference it made to this ladies smile!

Improve your smile today – call to schedule a consultation!
Any surgical or invasive procedure carries risks. Before proceeding, you should seek a second opinion from an appropriately qualified health practitioner.