Smile Gallery
We are proud of the dentistry we provide and always use high-quality, beautiful and durable materials. Take a moment to browse our patient before-and-after photos.
If you are considering a change to your smile or would like to replace metal dentistry with aesthetic tooth-coloured options, contact us to arrange a cosmetic dentistry consultation with Dr Georgia Sheahan, Dr Brodie Hawker, Dr Louise McCallum, Dr Kirstie Malley or Dr Andrew Liaw. We look forward to helping you achieve your ideal smile.
*The images shown in our Smile Gallery are examples of dental treatments provided at our practice. Individual results will vary depending on each patient’s dental needs and circumstances.
 
 
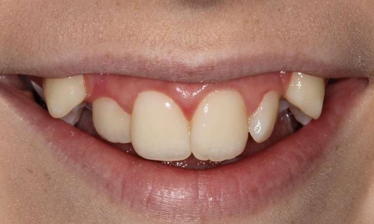
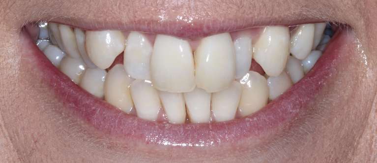
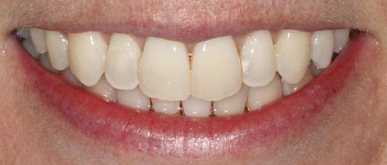
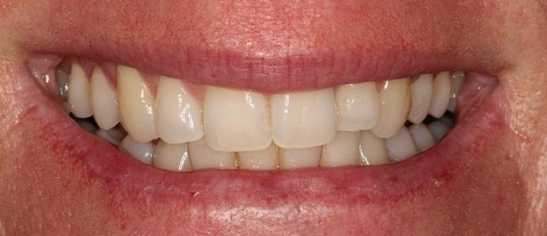
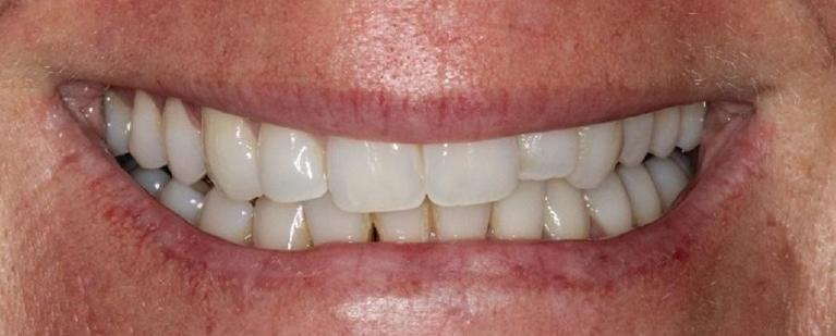
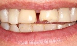
This lovely lady had a Maryland bridge from young and felt like the width of her lateral incisors didn't match. In addition she wasn't quite happy with the aesthetics and position of her teeth and was wondering if anything could be done. To help improve her overall smile, our dentists suggested using Invisalign to align the teeth followed by a replacement of a new bridge. At first our patient was sceptical about having a toothless smile during Invisalign but rest assured our dentists were even able to 'paint' a fake looking tooth in her aligners so that through the whole ...
 
 
This lad wasn't happy with how yellow and stained his front teeth looked. After doing Zoom in-chair whitening, Dr Kirstie was able to match and replace his anterior composites to give him a stain-free, whiter and brighter smile!
 
 
This stunning smile shows how teeth whitening can brighten your smile, while keeping it natural and beautiful. This lady really wanted her teeth to look fresher and whiter, but didn't want that fake "too white" look. As you can see, she achieved her goal with zoom whitening in less than 2 hours.
 
 
Having braces as a teenager can feel like a long time, but the results are always worth it. This patient had some anterior crowding on her upper and lower teeth. Dr Georgia worked her magic and was able to have braces off within a year!
 
 
This lovely lady had been coming regularly to see us for her routine checks and cleans. Over the years her teeth started to get more sensitive with general wear and tear. Dr Georgia suggested a combination of composite resin fillings and porcelain crowns to help restore her teeth and combat the sensitivity. Look at the difference it makes now that her teeth are better protected.
 
 
Being a teenager with braces can be tricky but the results are always worth it! Dr Georgia completed this beautiful smile in just under 2 years.
 
 
As you can see from these photos, our in house zoom whitening system is extremely effective at improving the shade of your natural teeth. When done safely, by qualified dental professionals, teeth whitening is non invasive, completely safe for your teeth and gums, and achieves a beautiful result.
 
 
This lovely patient also happens to be one of our talented dental assistants. After years of being self conscious about her teeth, she started working at a dental clinic and realised how easy invisalign treatment is! After a couple of years of treatment with invisalign clear aligners, her teeth aligned beautifully. Dr Georgia and the team are so happy we were able to give her a smile she loves.
 
 
If you'd like whiter teeth in less than 2 hours, then zoom in office whitening is for you! These photos speak for themselves, and beautifully illustrate how quick, easy and safe dental teeth whitening can be.
 
 
This lovely young lady was ready to have her teeth straightened, and we were happy to oblige. Dr Georgia Sheahan straightened her teeth with conventional braces to give her a beautiful smile and a healthy, stable bite. Best of all, this treatment took less than a year.
 
 
This patient's main concern was crowding. Once all her adult teeth were through, Dr Georgia used braces to not only correct the crowding, but provide a bigger and fuller looking smile. What an awesome result achieved in just under 10 months!
 
 
This patient's central crown cracked and needed replacing. The patient didn't want to change the aesthetics too much and liked how natural the original crowns looked. Dr Kirstie suggested Zoom in-chair whitening and then replaced the crowns with a whiter shade, while still ensuring the crowns remained as natural looking as possible. Look how great the smile looks now!
 
 
This one's one of our very own NBDC family smiles. Our lovely receptionist has always had a diastema (space between the front two central incisors) and wanted it closed. In just over a year, Dr Georgia was able to close the gap with a lite case of Invisalign. Look how full and perfect her smile looks now!
 
 
This lovely young lady had perfect teeth, apart from a small gap (diastema) between her two front teeth. After just 40 mins in the dental chair, Dr Brodie closed the gap seamlessly with composite resin veneers.
 
 
This patient had injured their teeth years earlier, which had caused some discolouration as well as uneven edges. On top of this, they weren't happy with the gaps between the teeth. After a single session with Dr Brodie, both of these problems were fixed with some composite resin veneers. This procedure is done freehand, which requires some artistry, but thankfully this is one of Dr Brodie's favourite procedures to do.
 
 
This gentleman had always been unhappy with his discoloured teeth. No matter how well he cleaned them, an intrinsic stain left them looking less than ideal. The solution was porcelain (ceramic) veneers. He had full control of the process, choosing the exact shade of white himself, as well as having input into the length and contour of the veneers. The result was a gorgeous smile and another happy patient.
 
 
Here we have a young lady who's front teeth had worn down prematurely, eventually resulting in chipped edges. Because of how thin her enamel was, fillings were continually chipping or popping off. As soon as we placed these beautiful porcelain (ceramic) veneers, she had a permanent solution that kept her smile looking natural. The best veneers are the ones you can't tell are there!
 
 
This young lad was always self-conscious about his diastema, space between his two front teeth. Our dentist gave options to help close the gap via orthodontics or cosmetic dentistry. Due to time and financial restraints, our patient opted for composite veneers to close the space in one simple appointment. Look at how great the results look!
 
 
Being a teenager is hard enough, without have to have crooked teeth as well! This youngster was very grateful for the result we were able to achieve with conventional braces.
 
 
This lovely lady was always a little self conscious of the gaps between her upper teeth, a common bolton's discrepancy due to her upper lateral incisors being slightly narrow. Dr Brodie worked her magic and crafted beautiful composite veneers to fill the gap. To further brighten and improve her smile, our patient also did one session of in-chair zoom whitening. How perfect does her smile look now!
 
 
This lovely lady's main concern was to improve the aesthetics of her anterior teeth. Her teeth were worn down from grinding and she didn't like how they were becoming translucent and yellow with time. To fix the overall yellow of her teeth, we were able to whiten her smile with Zoom in chair whitening. Once that was completed Dr Brodie was able to work her magic by using a combination of porcelain veneers and composite veneers to restore and lengthen the front teeth as well as make the teeth appear whiter and more opaque. Look what a difference it made ...
 
 
This lovely lady came to us with two concerns. She didn't like the gap between her two front teeth, and had also chipped one of them. There are a few different things we could have done here, and she eventually opted for porcelain (ceramic) veneers. Dr Georgia designed the veneers so they'd close the space at the front, as well as improving the contour of the teeth. Our patient was delighted.
 
 
This patient had a special event coming up and wanted to elevate her 'outfit' for the special occasion. What better way than to make her smile sparkle with in-chair whitening! These results were achieved in just one treatment!
 
 
This patient had always wanted to brighten their smile but didn't know which way to go with all the different options out there. They wanted to ensure safe, but effective results and so opted to come see us! Look at the amazing results achieved!
This lovely lady was feeling self conscious about the colour and texture of her front teeth. Over 2 short visits, we were able to place some porcelain veneers on her teeth to give her the smile she's always wanted.
 
 
This lovely teenage boy was self conscious about his crooked teeth, and we were also concerned that his bite was not ideal. The young lad was quite nervous about getting braces at first, but we discussed everything that would be involved, what each visit would feel like, and what he could expect at home. By the time his teeth were straight and his bite corrected, he was striding in and out of our clinic with confidence.
 
 
Braces as a teenager can be difficult to navigate, but the pro's definitely outweigh the cons. This young fellow persisted for 2 years with braces and as a result ended up with a fuller smile, increased confidence as well as better oral hygiene habits, and reduced risk of future oral health problems.
 
 
This patient had naturally sensitive teeth but really wanted to whiten their teeth in-chair and get a brighter smile. After a consult with the team at NBDC, we advised that we could tailor the appointment to suit the patient's needs and also have relief gels on hand to help with temporary sensitivity. The patient decided to go ahead and look at the awesome result they got!
 
 
This patient has always had 'yellow' teeth since young. Look at the amazing results achieved after only one treatment with Zoom In-Chair Whitening!
 
 
This patient was very self-conscious about her tooth sticking out at the front, and didn't like smiling because of it. Fast forward 2 years with Dr Brodie and look at her smile now!
 
 
What a difference straightening your teeth can make! This patient was mainly concerned with her upper teeth and didn't want to do any adjustment on her lower teeth. After only a year of Invisalign, Dr Georgia was able to produce a fuller, wider and straighter smile!
 
 
 
 
This little lady had some minor crowding to fix. Look how much fuller her smile looks after braces!
 
 
This patient didn't like how some of his teeth had a mottled yellow look. He had tried whitening before but he found it wasn't very effective. Our dentists suggested porcelain crowns to not only help with the staining but also help to strengthen the teeth and minimise the upper space. Look at the results achieved!
 
 
 
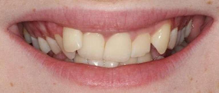
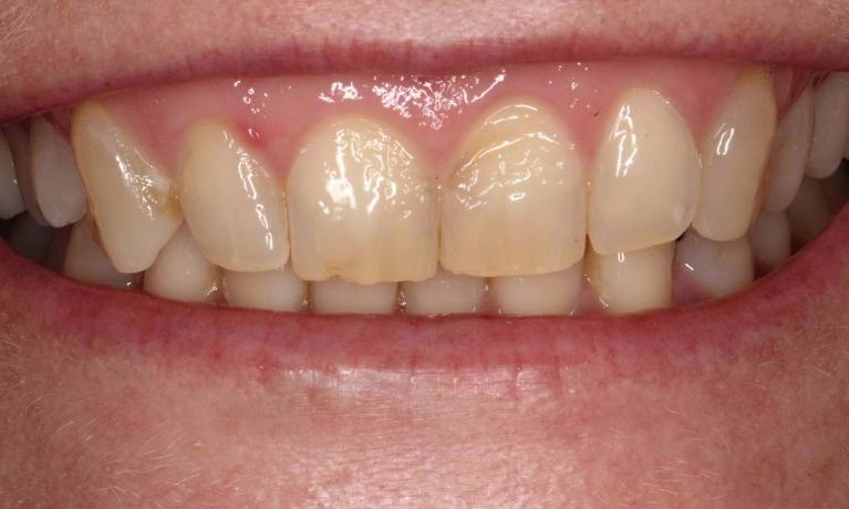
This lovely lady came in with her two front teeth chipped and wanted to know what options were available to fix. Our dentists gave her a couple options to try which included composite veneers or porcelain veneers. Our patient wanted to try the most affordable option first, which were the composite veneers. Composite veneers are at higher risk of chipping which unfortunately is what happened to our patient not long after. Our dentist then replaced the veneers with porcelain. Not only are they a lot stronger, but they have other additional benefits such as are more resistant to staining and ...
 
 
This patient needed a 'quick and easy fix' to brighten his smile! Look at the results achieved after only one treatment!
 
 
This beautiful patient wasn't too fond of the discolouration on her enamel. With composite resin veneers, we were able to mask the irregularities and give this lovely lady the smile she really wanted.
 
 
Our patient here was concerned that her 2 middle front teeth looked old and worn. We were able to mask this problem by placing some resin veneers on these teeth. This procedure took about 1 hour and helped a beautiful person smile with confidence.