North Brisbane Dental Clinic

Porcelain Veneers

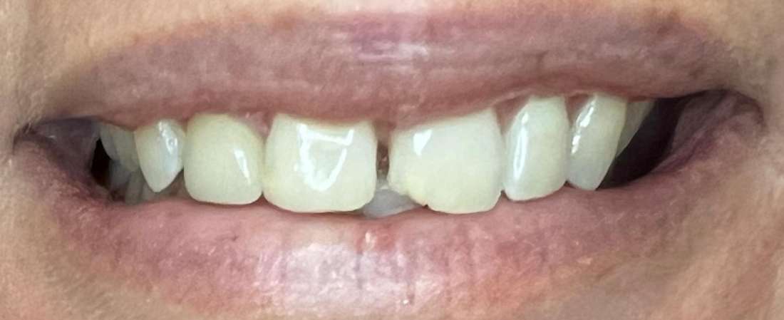
This lovely lady came to us with two concerns. She didn't like the gap between her two front teeth, and had also chipped one of them. There are a few different things we could have done here, and she eventually opted for porcelain (ceramic) veneers. Dr Georgia designed the veneers so they'd close the space at the front, as well as improving the contour of the teeth. Our patient was delighted.

Related Services:

Veneers
Ready to book an appointment?
Any surgical or invasive procedure carries risks, and we recommend seeking a second opinion from an appropriately qualified health practitioner before proceeding.
Any surgical or invasive procedure carries risks. Before proceeding, you should seek a second opinion from an appropriately qualified health practitioner.