North Brisbane Dental Clinic

Invisalign

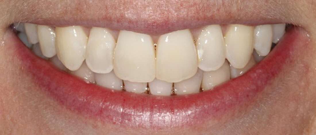
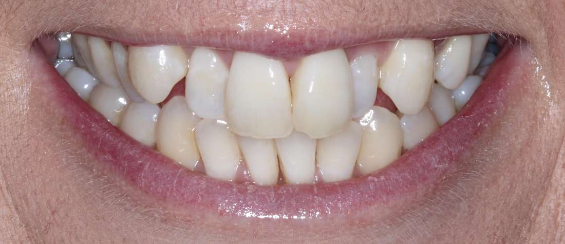
This lovely patient also happens to be one of our talented dental assistants. After years of being self conscious about her teeth, she started working at a dental clinic and realised how easy invisalign treatment is! After a couple of years of treatment with invisalign clear aligners, her teeth aligned beautifully. Dr Georgia and the team are so happy we were able to give her a smile she loves.

Related Services:

Invisalign® Clear Aligners
Getting an appointment is fast and easy!
Any surgical or invasive procedure carries risks. Before proceeding, you should seek a second opinion from an appropriately qualified health practitioner.