Invisalign and Veneer - Maryland Bridge
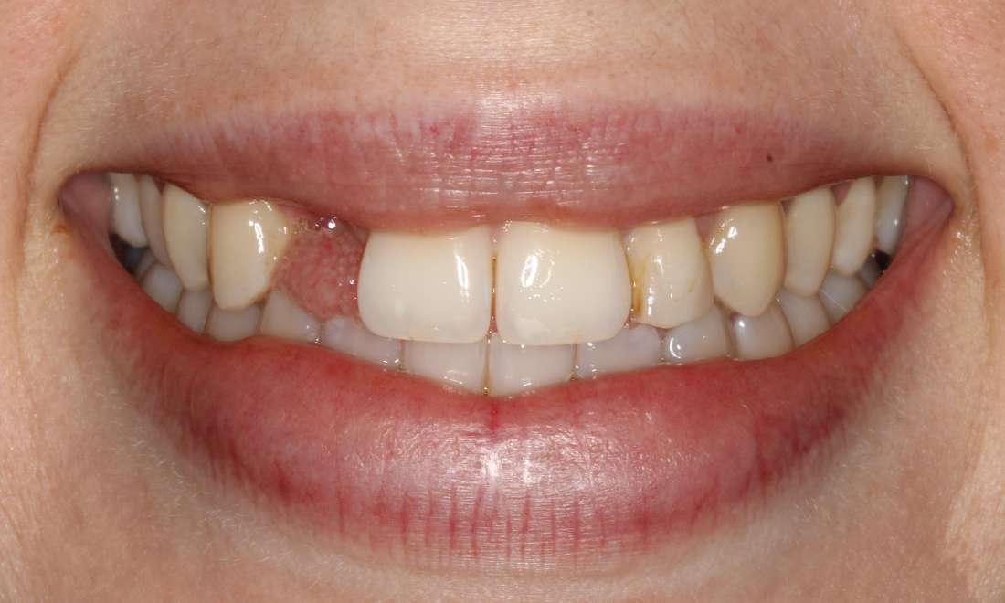
This lovely lady had a Maryland bridge from young and felt like the width of her lateral incisors didn't match. In addition she wasn't quite happy with the aesthetics and position of her teeth and was wondering if anything could be done. To help improve her overall smile, our dentists suggested using Invisalign to align the teeth followed by a replacement of a new bridge. At first our patient was sceptical about having a toothless smile during Invisalign but rest assured our dentists were even able to 'paint' a fake looking tooth in her aligners so that through the whole process our patient still appeared to have all her teeth. Check out the end result after all the treatment was completed!
Drag the arrows back and forth to view complete Before and After views


Improve your smile today – call to schedule a consultation!
Claim Now!