North Brisbane Dental Clinic

Teenage Braces

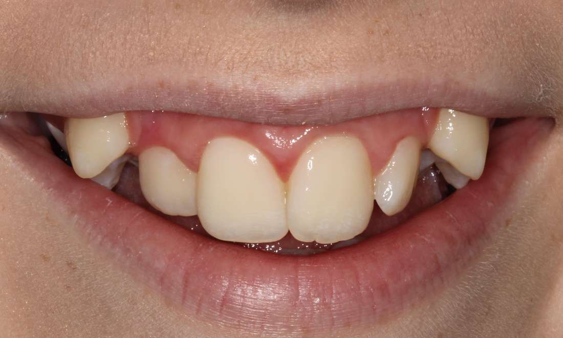
Being a teenager with braces can be tricky but the results are always worth it! Dr Georgia completed this beautiful smile in just under 2 years.

 

Related Services:

Braces
Improve your smile today – call to schedule a consultation!
Any surgical or invasive procedure carries risks. Before proceeding, you should seek a second opinion from an appropriately qualified health practitioner.