North Brisbane Dental Clinic

Teenage Braces

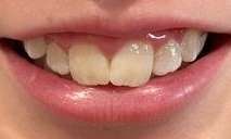
Having braces as a teenager can feel like a long time, but the results are always worth it. This patient had some anterior crowding on her upper and lower teeth. Dr Georgia worked her magic and was able to have braces off within a year!  

Related Services:

Braces
Still need an appointment?
Any surgical or invasive procedure carries risks. Before proceeding, you should seek a second opinion from an appropriately qualified health practitioner.