North Brisbane Dental Clinic

Teenage Braces

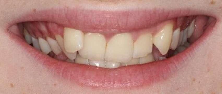
This patient was very self-conscious about her tooth sticking out at the front, and didn't like smiling because of it. Fast forward 2 years with Dr Brodie and look at her smile now! 

Related Services:

Braces
Have Questions? Get in Touch
Any surgical or invasive procedure carries risks. Before proceeding, you should seek a second opinion from an appropriately qualified health practitioner.