North Brisbane Dental Clinic

Porcelain Crowns

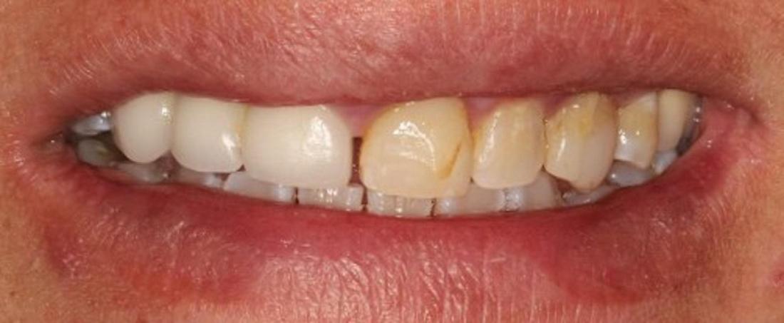
This patient didn't like how some of his teeth had a mottled yellow look. He had tried whitening before but he found it wasn't very effective. Our dentists suggested porcelain crowns to not only help with the staining but also help to strengthen the teeth and minimise the upper space. Look at the results achieved!

Related Services:

Crowns and Bridges
Veneers
Have Questions? Get in Touch
Any surgical or invasive procedure carries risks. Before proceeding, you should seek a second opinion from an appropriately qualified health practitioner.