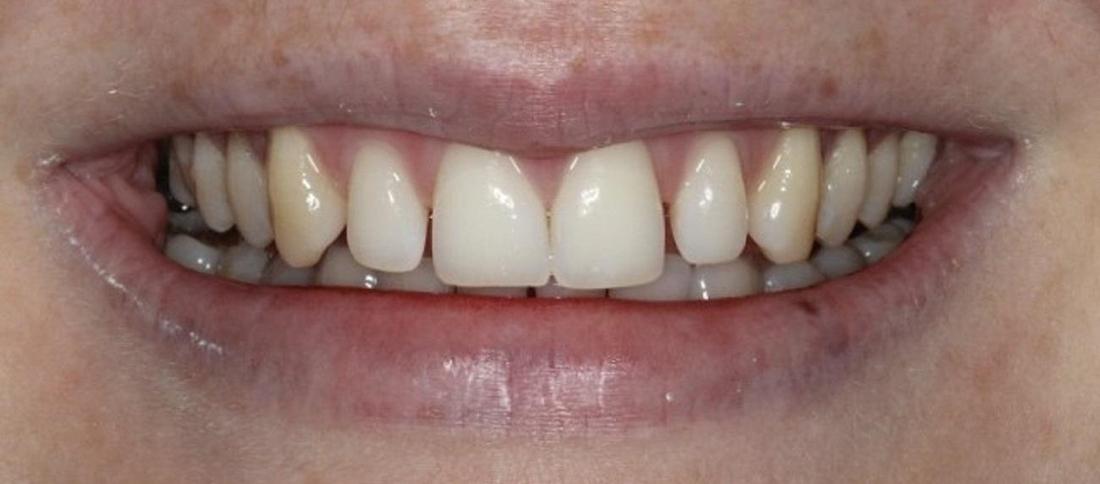
This lovely lady was always a little self conscious of the gaps between her upper teeth, a common bolton's discrepancy due to her upper lateral incisors being slightly narrow. Dr Brodie worked her magic and crafted beautiful composite veneers to fill the gap. To further brighten and improve her smile, our patient also did one session of in-chair zoom whitening. How perfect does her smile look now!
Drag the arrows back and forth to view complete Before and After views
Improve your smile today – call to schedule a consultation!
Any surgical or invasive procedure carries risks. Before proceeding, you should seek a second opinion from an appropriately qualified health practitioner.