North Brisbane Dental Clinic

Composite Resin Veneers

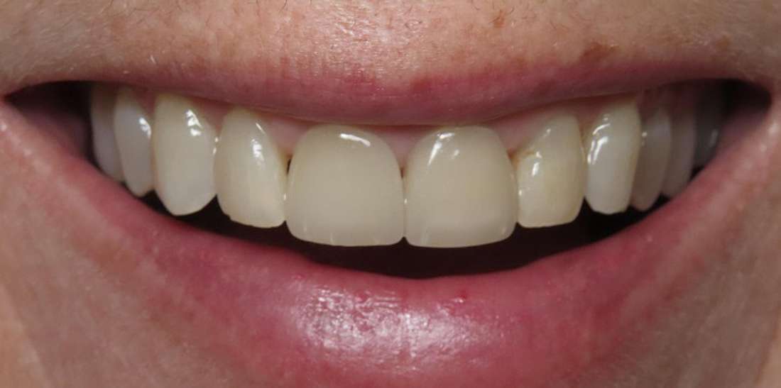
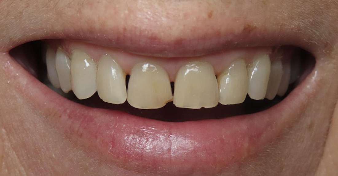
This patient had injured their teeth years earlier, which had caused some discolouration as well as uneven edges. On top of this, they weren't happy with the gaps between the teeth. After a single session with Dr Brodie, both of these problems were fixed with some composite resin veneers. This procedure is done freehand, which requires some artistry, but thankfully this is one of Dr Brodie's favourite procedures to do.

Related Services:

Veneers
Ready to book an appointment?
Any surgical or invasive procedure carries risks. Before proceeding, you should seek a second opinion from an appropriately qualified health practitioner.