North Brisbane Dental Clinic

Composite Resin Veneers

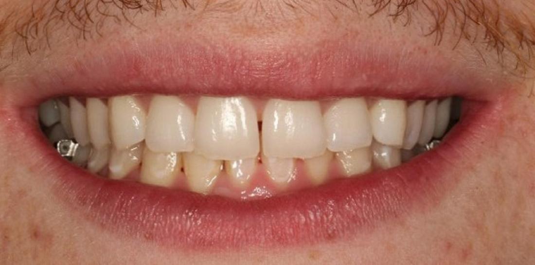
This young lad was always self-conscious about his diastema, space between his two front teeth. Our dentist gave options to help close the gap via orthodontics or cosmetic dentistry. Due to time and financial restraints, our patient opted for composite veneers to close the space in one simple appointment. Look at how great the results look! 

Related Services:

Veneers
Not finding what you need?
Any surgical or invasive procedure carries risks. Before proceeding, you should seek a second opinion from an appropriately qualified health practitioner.